El shedding, inevitable en tratamientos contra la alopecia
Se denomina así a la etapa de transición entre la caída y la recuperación del cabello después de un tratamiento anticaída. Parece que se está perdiendo más pelo, pero en realidad volverán a crecer nuevos cabellos y con más fuerza
-
El cabello que no se tira
-
La elegancia morena vuelve a ser tendencia: claves de la experta en color Maria Roberts para un color sano, pulido y favorecedor
Las melenas morenas se imponen con tonos cálidos, brillo intenso y técnicas low-maintenance
-
Revlon Professional celebra la trayectoria y el legado del peluquero Luis Romero
Revlon Professional rinde homenaje a una de las figuras más destacadas de la peluquería española e internacional, que este mes de noviembre pone fin a su trayectoria profesional
-
El corte bixie de Rama Duwaji: la nueva evolución del estilo corto que redefine la feminidad contemporánea
El bixie de Rama Duwaji irrumpe como el nuevo corto de culto que fusiona precisión, frescura y una feminidad contemporánea
-
La realidad del sector de la peluquería con la llegada del coronavirus
Dentro del ambicioso plan de acción contra la crisis del coronavirus y llamada de unión a la industria de la peluquería, theQhair publica el análisis actual del sector y ante la pandemia del Covid-19
-
Los mejores peinados masculinos para el cabello fino
El estilista Jim Shaw, peluquero masculino multipremiado y director de Toni&Guy Billericay, comparte sus claves para sacar el máximo partido al cabello fino con cortes que aportan volumen y estilo
-
CONCURSO BEAUTY MARKET PELUQUERÍA
Beauty Market y Joico regalan 6 packs de productos K-PAK Hair Repair System, cabello más saludable, más fuerte y más brillante
Optimiza la reconstrucción del cabello antes y después de aplicar productos químicos
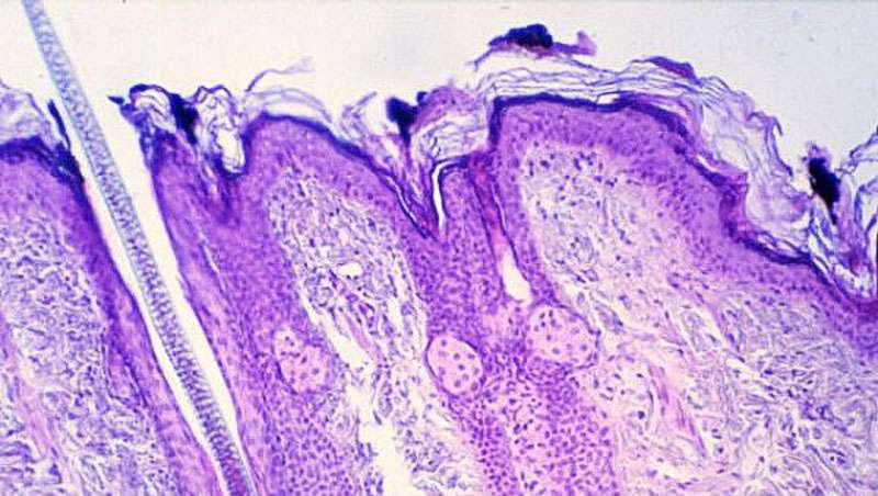
Cuando una persona inicia un tratamiento contra la caída del cabello, muchas veces se desespera porque, en vez de conseguir que nazcan más cabellos, ocurre el efecto contrario: se pierden aún más. Pero esta situación frustrante, donde incluso algunos dejan de seguir el tratamiento, es algo completamente normal cuando se inicia un tratamiento, y se le conoce como efecto shedding.
El shedding es un término inglés que viene del verbo to shed (desprenderse). Muchas veces se le confunde con la caída del cabello, ya que da la sensación de que los cabellos mueren y que ya no volverán a crecer. La realidad es todo lo contrario. El shedding es la transición del folículo de una fase de crecimiento a una de reposo, para volver a crecer un período de tiempo después.
El ciclo de vida del cabello
Los folículos pilosos pasan por diferentes etapas durante su ciclo vital, tanto de crecimiento como de reposo. Su ciclo de crecimiento puede dividirse en tres fases y se suceden simultáneamente en diferentes sectores del cuero cabelludo:
✓Fase anágena: fase del crecimiento de cabello que puede durar entre 2 y 8 años. El 90% del nuestro cabello se encuentra en esta fase. La velocidad de crecimiento de un pelo es, aproximadamente, unos dos centímetros y medio al mes.
✓Fase catágena: es una fase de transición donde el crecimiento del cabello se detiene. Un uno por ciento del cabello se encuentra en esta fase y dura aproximadamente unas tres semanas.
✓Fase telógena: es la fase de reposo. Casi el 10% del cabello se encuentra en esta fase y durante su etapa es cuando perdemos cabello (unos cien cabellos al día si consideramos que tenemos de media unos cien mil cabellos). Dura aproximadamente entre 2 y 3 meses.
¿Cuándo cae el cabello?
El cabello cae entre la fase telógena y la fase anágena, y se produce cuando el pelo vuelve a crecer desde la raíz interna del folículo piloso. Entonces empuja hacia afuera el pelo anterior, tal y como ocurre con el nacimiento de los dientes en sustitución de los dientes de leche.
En el caso de padecer una alopecia, el nuevo cabello crece más débil y con una textura más fina.
¿Porqué se produce el shedding?
Ya hemos comentado que el 90% de los folículos capilares están en etapa de crecimiento. Cuando reciben el estímulo del tratamiento contra la alopecia, tanto si se trata de minoxidil, finasteride, ketoconazol u otro, los folículos cesan su actividad y vuelven a recomenzar su ciclo, que pasa por la caída, reposo y crecimiento.
A pesar de esta caída masiva de cabello, el paciente puede estar tranquilo porque el folículo generará un cabello de mejor calidad que el anterior, ya que contará con los nutrientes necesarios para que su tamaño sea mayor, más sano y más fuerte que el cabello desprendido.
¿Se daña el cabello por el shedding?
No, porque no se produce ningún daño en los folículos pilosos. Es un proceso natural del cabello. Los folículos no mueren, sino que cambian de ciclo vital. Por tanto, el shedding no implica perder el pelo definitivamente.
Tras la caída del cabello empieza la regeneración capilar. Se detiene su proceso anterior, débil y defectuoso, y el folículo vuelve a generar un cabello más fuerte como consecuencia de la sustancia aplicada como tratamiento.
¿Cuánto tiempo dura el shedding?
El shedding es temporal y concluye aproximadamente a los tres meses, coincidiendo con las fases telógenas y anágenas. Si el shedding va más allá de los tres meses puede ser que sea como consecuencia de otros problemas, como enfermedades, rechazo de la medicación, estrés, etc. Por eso el seguimiento del tratamiento anticaída debe ser controlada por un profesional.
¿Se puede evitar el shedding?
No hay nada para evitar el shedding, ya que es una pérdida de cabello acelerada por los fármacos utilizados para combatir la alopecia. Es más, el shedding es una señal de que el tratamiento funciona.
Recomendamos


























