Canal Experto
-
- AUTOR
- MENSAJE
-
-

GV.pro -
Cavitación
GV.pro
Enviado el día: 27-05-15 a las 10:15 am
Buenos días,
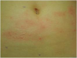
Alguien podría decirme porque hay clientes que cuando realizo la cavitación le sale una reacción en la piel manifestada como si fueran granitos.
La instructora de la marca del aparato me comentó que es una reacción normal pero no el porque.Saludos y gracias!
Lugar
- Last post
-
Respuestas
-
- AUTOR
- MENSAJES
- --
-
-

esmeralda.com -
esmeralda.com
Enviado el día: 28-05-15 a las 09:02 am
Es un posible efecto secundario relativamente habitual e inespecífico como respuesta de la piel al efecto térmico y mecánico del US. Estaría relacionado con una obstrucción brusca de las glándulas sudoríparas que remite al finalizar el tratamiento. Un beso

Lugar -
Last post
Responder »
-
-
-

GV.pro -
GV.pro
Enviado el día: 28-05-15 a las 13:47 pm
Gracias Esmeralda!!
Saludos!
Lugar
-
Last post
Responder »
-
-
-

Maricela -
Maricela
Enviado el día: 20-08-15 a las 00:05 am
Hola Esmeralda, una pregunta, serías tan amable de compartirnos cuáles son las características ideales que debe tener un equipo de Cavitación.
Lugar
-
Last post
Responder »
-
-
-

esmeralda.com -
esmeralda.com
Enviado el día: 20-08-15 a las 15:47 pm
· Multifrecuencial (32/40 KHz)
· Potencia salida: 50 w. min.
· Multiaplicador: Concavo/FocalUn beso
Lugar
-
Last post
Responder »
-
-
-

Maricela -
Maricela
Enviado el día: 01-09-15 a las 01:15 am
Muchísimas gracias Esmeralda, eres un encanto.
Lugar
-
Last post
Responder »
-
-
-

Maricela -
Maricela
Enviado el día: 11-09-15 a las 18:35 pm
Hola Esmeralda, como ando pensando en comprar un equipo de cavitación, quisiera antes saber si hay ya alguna otra tecnología más reciente y efectiva que esa.
Lugar
-
Last post
Responder »
-
-
-

MAricela -
MAricela
Enviado el día: 11-09-15 a las 20:33 pm
Ultrasonido Focalizado (HIFU) o criolipólisis o cavitación? :( !!
Lugar
-
Last post
Responder »
-
-
-

esmeralda.com -
esmeralda.com
Enviado el día: 11-09-15 a las 22:24 pm
Ondas de choque. Un beso
Lugar
-
Last post
Responder »
-
-
-

Maricela -
Maricela
Enviado el día: 11-09-15 a las 23:53 pm
Muchísimas gracias Esmeralda por la rapidez de tu respuesta, pero no entendí!! ;(
Lugar
-
Last post
Responder »
-
-
-

Maricela -
Maricela
Enviado el día: 12-09-15 a las 00:39 am
Debo entender que es el HIFU?
Lugar
-
Last post
Responder »
-
-
-

esmeralda.com -
esmeralda.com
Enviado el día: 12-09-15 a las 14:37 pm
No, Maricela. Las ondas de choque transmiten también ondas mecánicas pero se basan en otro principio que el HIFU. Un beso
Lugar
-
Last post
Responder »
-
-
-

esteticasalbe.pro -
esteticasalbe.pro
Enviado el día: 13-09-15 a las 22:33 pm
Hola esmeralda¡ y una pregunta acerca de este tema. hay alguna manera de prevenir esta reacción de la piel. Gracias un beso!
Lugar
-
Last post
Responder »
-
-
-

esteticasalbe.pro -
esteticasalbe.pro
Enviado el día: 13-09-15 a las 22:34 pm
No me han salido los interrogantes disculpa...
Lugar
-
Last post
Responder »
-
-
-

Maricela -
Maricela
Enviado el día: 14-09-15 a las 18:47 pm
mil disculpas Esmeralda, pero sigo sin entender a que tecnología te refieres cuando mencionas "ondas de choque" :(
Lugar
-
Last post
Responder »
-
-
-

esmeralda.com -
esmeralda.com
Enviado el día: 15-09-15 a las 14:37 pm
Mejorando la hidratación y vascularidad de la zona, esteticasalbe. Y aún así... Un beso
Lugar
-
Last post
Responder »
-
-
-

esmeralda.com -
esmeralda.com
Enviado el día: 15-09-15 a las 14:42 pm
Maricela, las ondas de choque son ultrasonidos no invasivos caracterizados por picos elevadísimos de emisión en pulsos de cortísima duración. Hay diversas patentes y modos de emisión: Focal, planar... No guarda relación con la onda de choque invasiva generada por el efecto implosivo cavitacional. Son poco conocidas en el campo de la estética, pero sí en el ámbito terapéutico desde hace muchos años. Destacan en los procesos de descompactación, lipolisis y sobre todo reafirmación. Un beso
Lugar
-
Last post
Responder »
-
-
-

Maricela -
Maricela
Enviado el día: 30-09-15 a las 20:01 pm
Hola Esmeralda, muchas gracias por tu respuesta y una disculpa por agradecer hasta ahora. He buscado algo acerca de las ondas de choque. Encontre algo de Acoustic Waves Theraphy. Supongo que es a lo que te refieres. Sin embargo, lo poco que he visto, hace referencia a que es más utilizado para celulitis. Yo sinceramente busco algo que me de más efectividad en abdomen, que es lo que más me piden. Qué me recomendarías mas para abdomen? Mil gracias y perdona tanta lata, pero la verdad que cuando anda uno en eso de querer comprar un equipo, quiere uno hacer una buena inversión.
Lugar
-
Last post
Responder »
-
-
-

esmeralda.com -
esmeralda.com
Enviado el día: 01-10-15 a las 20:26 pm
Sin duda alguna, Electroporación transdérmica con un potente cóctel lipolítico. Imbatible. Un beso
Lugar
-
Last post
Responder »
-
-
-

sisneo.com -
sisneo.com
Enviado el día: 14-10-15 a las 12:49 pm
Aparte de lo que indica Esmeralda en ocasiones esa reacción aparece por el uso de un gel no adecuado. Hay geles de depilación etc., que contienen microburbujas aunque no sean visibles a simple vista, y éstas interactúan en la superficie de la piel generando zonas donde se concentra mucha energía.
Lugar
Si el gel es especial para ultrasonidos descartaríamos esta posibilidad, pero como le comento con otros geles no específicos es bastante habitual.
Un saludo.
-
Last post
Responder »
-
Normas de los foros de BeautyMarket
• BeautyMarket respeta la libertad de expresión de los participantes. BeautyMarket no se hace responsable de los comentarios y las opiniones de los usuarios. Los moderadores se reservan la posibilidad de suprimir aquellos mensajes que estén fuera de lugar, según la temática de este foro.
• No está permitida la publicidad de ningún tipo, en especial los mensajes engañosos de falsos remitentes. Los moderadores decidirán qué mensajes se consideran o no publicidad de cara al público de este foro, y su decisión es irrevocable.
• No están permitidas las denuncias anónimas sobre empresas, productos o marcas concretas. BeautyMarket considera que este tipo de acciones suelen corresponder a maniobras de contrapublicidad, que tampoco está permitida.
• Beauty Market advierte que difundir calumnias o injurias por internet puede dar lugar a responsabilidades legales. Beauty Market colaborará con los órganos públicos para localizar e identificar a los usuarios que realicen dichas actividades ilícitas. Beauty Market retirará diligentemente los mensajes que considere incurren en prácticas de este tipo, tanto por propia iniciativa como a instancias de empresas u organismos que puedan sentirse perjudicados.
• Los participantes que desempeñen algún tipo de actividad comercial diferente de profesional de peluquería o estética están obligados a hacerlo constar explícitamente en su identificación (nick) o dentro del mensaje.
• El hecho de participar en este foro significa la aceptación de estas normas.











